Les Informations Présentées Sur Ce Site Ne Constituent Pas Un Avis Médical. Nous Ne Vendons Rien. L'Exactitude De La Traduction N'Est Pas Garantie. Clause De Non-Responsabilité



Brûlures d'estomac (reflux acide, gerd): causes et remèdes

Qu'est-ce que les brûlures d'estomac?

Spicy foods can make your chest burn.

Les brûlures d'estomac sont une sensation de brûlure au milieu de la poitrine derrière le maternel et au milieu de l'abdomen. Il se produit lorsque l'acide et d'autres contenus de l'estomac montent dans l'œsophage et irritent les tissus. Une vanne d'estomac défectueuse permet à l'acide et au contenu de l'estomac de s'échapper et de provoquer la sensation de brûlure. Environ 60 millions d'Américains souffrent de la condition au moins une fois par mois. Environ 15 millions d'Américains en souffrent quotidiennement. Manger des aliments épicés et la suralimentation sont des déclencheurs courants du symptôme. L'indigestion est un autre nom pour les brûlures d'estomac.

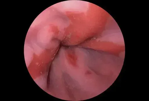
Le sphincter œsophagien inférieur

Lorsque vous avalez de la nourriture, il parcourt l'œsophage et passe à travers un anneau musclé connu sous le nom de sphincter œsophagien inférieur (LES). Cette structure s'ouvre pour permettre aux aliments de passer dans l'estomac. Il est censé rester fermé pour maintenir le contenu de l'estomac où ils appartiennent. Si la valve est faible ou endommagée d'une manière ou d'une autre, elle peut s'ouvrir et permettre au contenu de l'estomac et à l'acide de revenir ou de reflux dans l'œsophage. Le reflux acide produit une sensation de brûlure.



Qu'est-ce qui fait dysonner la valve?

Chez certaines personnes, le sphincter œsophagien inférieur se détend au mauvais moment ou s'affaiblit. Cela permet au contenu de l'estomac de s'échapper et de monter dans l'œsophage. Cela provoque une irritation et une douleur brûlantes. Étonnamment, tous ceux qui ont un reflux acide ne ressentent pas une sensation de brûlure. D'autres fois, brûlant dans la zone de la poitrine et de l'abdomen est causée par une condition autre que le reflux. Parfois, des douleurs thoraciques peuvent survenir en raison d'une crise cardiaque ou d'autres conditions graves. Le reflux acide est le principal symptôme de la maladie du reflux gastro-œsophagien (RGO), mais le RGO est associé à d'autres symptômes comme les nausées contre la toux sèche. Consultez votre médecin si vous ressentez une douleur ou une irritation dans la poitrine ou l'abdomen.



Différence entre le bupropion XL et SR

Quels sont les symptômes du RGO?

La maladie du reflux gastro-œsophagien (RGO) est une affection dont le principal symptôme (brûlure ou inconfort thoracique) est causé par le reflux acide. Ce reflux provoque des brûlures dans la poitrine généralement après avoir mangé. Une attaque peut durer jusqu'à plusieurs heures. Se coucher et se pencher peut aggraver les symptômes. Un reflux sévère peut provoquer des symptômes supplémentaires, notamment des problèmes à avaler un sentiment que quelque chose est coincé dans la gorge ou la poitrine ou un goût aigre à l'arrière de la gorge. Le reflux peut déclencher des crises d'asthme essoufflé et une toux chronique. La douleur thoracique causée par le reflux peut imiter les douleurs thoraciques qui se produisent lors d'une crise cardiaque. Si vous n'êtes pas sûr du reflux vs une douleur thoracique cardiaque, consultez votre médecin. Un médecin peut généralement diagnostiquer facilement le reflux en demandant à un patient de décrire ses symptômes.

Qui a des brûlures d'estomac?

Toute personne à tout âge peut obtenir des brûlures d'estomac, mais certains facteurs rendent plus susceptible d'obtenir la condition. Les facteurs de risque peuvent affaiblir ou endommager les LES. D'autres facteurs peuvent affecter la quantité d'acide gastrique produit. Ceux qui ont un risque accru pour la maladie comprennent les femmes enceintes ceux qui sont en surpoids ou obèses et ceux qui fument ou qui sont exposés à la fumée secondaire. Certains médicaments augmentent le risque. Même porter des vêtements trop serrés peut augmenter le risque de reflux.



Avez-vous un RGO ou autre chose?

Des brûlures d'estomac occasionnelles ne sont généralement pas une source de préoccupation, mais un reflux acide en cours sévère peut être dangereux. Des brûlures d'estomac sévères qui se produisent au moins deux fois par semaine peuvent indiquer le RGO qui doit être traité. Le RGO chronique peut provoquer des cicatrices d'ulcères et une inflammation dans l'œsophage. Il peut également changer de cellules qui tapissent l'œsophage. Ceci est connu sous le nom d'œsophage de Barrett et augmente le risque de développer un cancer de l'œsophage.

Avez-vous des symptômes nocturnes?

Les brûlures d'estomac nocturne peuvent être particulièrement dangereuses. Se réveiller avec un goût aigre dans la bouche ou un mal de gorge peut indiquer un reflux acide nocturne. Non seulement cela perturbe le sommeil, mais l'œsophage peut subir plus de dégâts. En effet, lorsque vous vous allongez pendant plusieurs heures, l'acide a beaucoup de temps pour vous attarder dans l'œsophage et endommager le tissu. Lorsque nous sommes éveillés, nous avalons la salive tout au long de la journée. La salive aide à neutraliser l'acide gastrique. Nous avalons naturellement moins de salive lorsque nous dormons, donc l'acide gastrique n'est pas neutralisé.

Remèdes maison des brûlures d'estomac

Vous pouvez faire beaucoup pour éviter les symptômes de brûlures d'estomac à la maison. Mangez de petits repas pour éviter la suralimentation. Ne mangez pas dans les 3 à 4 heures suivant votre coucher. Donnez-vous beaucoup de temps pour digérer afin que le contenu de l'estomac ne puisse pas reculer dans votre œsophage la nuit. Ne mangez pas tard le soir. Vous voulez vous coucher avec votre estomac vide. Si vous mangez avant le coucher, l'acide et la nourriture peuvent monter dans l'œsophage lorsque vous vous allongez et provoquez des brûlures. Soulevez la tête de votre lit d'environ 6 à 8 pouces. Cela permet à la gravité de travailler à votre avantage et aide le contenu de l'estomac à rester où ils appartiennent.

Apporter des changements alimentaires

Les types de nourriture que vous mangez peuvent provoquer une gêne digestive. Si vous êtes sujet au reflux acide, évitez de manger des aliments épicés, les aliments acides et d'autres aliments qui déclenchent le reflux car ils détendent les LES. Les aliments déclencheurs connus incluent les tomates d'ail agrumes à l'ail fruits aux oignons au chocolat à la menthe poivrée et aux aliments gras. Éviter de boire de l'alcool. Vous pourrez peut-être tolérer des plats normalement épicés en atténuant le feu dans le plat. Choisissez des versions plus douces de vos plats épicés préférés qui sont moins susceptibles de provoquer vos symptômes.

Choisissez judicieusement les boissons

Tout comme les aliments peuvent provoquer des symptômes de brûlures d'estomac, il en va de même pour boire certaines boissons. Les tomates et les agrumes peuvent provoquer un reflux, il en va de même pour les jus de ces aliments. Ne buvez pas de jus d'orange de jus de tomate ou de jus de pamplemousse. Les autres boissons qui peuvent entraîner le reflux comprennent l'alcool et les sodas à thé et les boissons gazeuses. Tout le monde est différent. Certaines personnes peuvent être en mesure de consommer ces boissons sans problème, mais certaines personnes peuvent trouver que la consommation de boire apporte des symptômes. D'autres peuvent être en mesure de consommer ces boissons avec modération sans affecter leur état. Expérimentez un peu et faites ce qui vous convient.

tourbillon mural

Être intelligent sur l'exercice

Il est nécessaire d'obtenir une activité physique adéquate pour maintenir votre santé globale, mais les types d'activités dans lesquels vous engagez peuvent affecter vos symptômes de reflux acide. Les exercices qui augmentent la pression abdominale peuvent forcer le contenu de l'estomac dans l'œsophage. Le yoga pose qui inverse le corps comme un chien vers le bas et les fruits de tête peuvent provoquer des symptômes. Les exercices abdominaux comme les craquements augmentent également la pression intra-abdominale et peuvent vous donner un reflux. L'exercice est super. Assurez-vous simplement de choisir un exercice qui garde le contenu de votre estomac où il appartient.

Faire fonctionner la gravité pour vous

Les gens passent environ un tiers de leur vie à dormir. Le reflux nocturne est particulièrement dangereux car l'acide gastrique peut entrer en contact avec l'œsophage pendant de nombreuses heures le soir tout en dormant endommageant et en érodant le tissu. Dormez d'une manière qui fait que la gravité fonctionne pour vous et maintient l'acide gastrique à sa place. Mettez des planches en bois sous la tête de votre matelas pour élever la tête d'environ 6 à 8 pouces. D'autres bonnes façons d'élever la tête comprennent le sommeil sur un oreiller de coin ou dormir avec plusieurs oreillers sous votre tête. Vous pouvez également remarquer que dormir sur votre côté gauche est mieux pour prévenir le reflux que de dormir sur votre côté droit.

Ce que vous portez compte aussi

Les changements de style de vie peuvent avoir des effets surprenants sur les symptômes du reflux acide. Les vêtements que vous portez peuvent influencer vos symptômes. Les vêtements serrés mettent la pression sur l'abdomen et peuvent forcer l'acide et les aliments dans votre estomac dans votre œsophage. Évitez de porter des pantalons serrés Belts Shapewear et contraignez des vêtements qui exercent la pression sur votre abdomen. Portez des chemises de pantalons amples et d'autres types de vêtements pour vous donner une grande place pour encourager une fonction digestive appropriée. Ces styles peuvent également aider à prévenir le reflux.

Gérer les symptômes pendant la grossesse

Environ 30% à 50% des femmes se plaignent de brûlures d'estomac pendant la grossesse. Les symptômes ont tendance à être pires au cours des deuxième et troisième trimestres lorsque l'abdomen de la femme devient le plus important. Augmentation de la pression intra-abdominale et des hormones changeantes pendant la grossesse en hausse du risque de brûlures d'estomac et de reflux acide. Certaines femmes peuvent obtenir un soulagement de leurs symptômes en faisant certains changements de style de vie. Cela comprend manger plusieurs petits repas par jour au lieu de trois grands repas principaux. Les femmes enceintes ne devraient pas manger de nourriture frite ni d'aliments épicés. Les femmes enceintes ne devraient pas se coucher immédiatement après avoir mangé. Alors que plusieurs médicaments en vente libre sont disponibles pour le traitement des symptômes des brûlures d'estomac, les femmes enceintes devraient consulter leur médecin avant de prendre des médicaments pour s'assurer qu'elle est sûre pour le fœtus.

Antiacides pour les brûlures d'estomac

Les antiacides sont des médicaments qui neutralisent l'acide gastrique. Ils sont un type de traitement en vente libre pour atténuer le sentiment brûlant. Rolaids Maalox et Mylanta sont quelques types d'antiacides en vente libre. Les antiacides sont une bonne option si vous avez des brûlures d'estomac occasionnelles et des symptômes légers et des inconfort. Prenez ces médicaments comme indiqué et ne dépassez pas la dose recommandée. Ne pas utiliser les antiacides ou prendre plus que ce qui est dirigée sur l'étiquette car cela peut entraîner des effets secondaires, notamment la constipation ou la diarrhée. Si vous souffrez de brûlures d'estomac graves ou de brûlures d'estomac de longue date, les antiacides peuvent ne pas être le choix de traitement approprié.

Que sont les bloqueurs H2?

Les bloqueurs H2 sont une autre option de traitement pour le soulagement des brûlures d'estomac. Ils sont disponibles en vente libre et par ordonnance. Comme leur nom l'indique le bloc la production d'acide gastrique. Les bloqueurs H2 doivent être pris 30 minutes avant les repas pour être les plus efficaces. Certains médecins peuvent recommander de prendre à la fois des bloqueurs H2 et des antiacides pour contrôler les symptômes. Un autre avantage des bloqueurs H2 est qu'ils aident à guérir l'œsophage inversant les dommages causés par l'acide gastrique. Des exemples de bloqueurs H2 comprennent la ranitidine (zantac) cimétidine (tagamet) nizatidine (axide) et la famotidine (pepcid).

Que sont les inhibiteurs de la pompe à protons (IPP)?

Les inhibiteurs de la pompe à protons sont des médicaments qui diminuent la quantité d'acide gastrique que l'estomac produit. Ils sont plus efficaces pour fournir un soulagement des brûlures d'estomac que les bloqueurs H2. Ils travaillent également mieux pour aider à guérir l'œsophage. Les versions en vente libre et sur ordonnance de ces médicaments sont disponibles. Ils doivent être pris à jeun. Des exemples de PPI comprennent le lansoprazole (prévacide) pantoprazole (protonix) esoméprazole (nexium) oméprazole (prilosec zegerid) et le rabéprazole (aciphex). Les IPP ne doivent pas être pris à long terme ni à des doses élevées car cela est associé à un risque accru de fractures de la colonne vertébrale des poignets et des hanches.

Quel traitement des brûlures d'estomac vous convient?

Le type de traitement des brûlures d'estomac qui vous convient dépend de divers facteurs. La fréquence et la gravité de vos symptômes sont des considérations importantes. Certains médicaments prolongent les symptômes actuels tandis que d'autres médicaments sont conçus pour prévenir les symptômes avant de commencer. Si vous n'êtes pas sûr de quel traitement de brûlures d'estomac à prendre, ayez une discussion avec votre médecin. Votre médecin peut évaluer votre état et prendre en compte les conditions médicales supplémentaires que vous avez et les médicaments que vous pourriez prendre et faire une recommandation de traitement appropriée.

Brûlures d'estomac (REGD de reflux acide): causes et remèdes

Sources:

Images fournies par:

  1. action
  2. 3d4medical.com
  3. 3d4medical.com
  4. Baptide
  5. Vision de wade / numérique
  6. © ISM / Phototake - Tous droits réservés.
  7. © Roy Morsch / Corbis
  8. Brayden Knell / WebMD
  9. Richard Nowitz / National Geographic
  10. Sambaphoto / Tony Generico
  11. Source d'image
  12. Co. Mix Ltd.
  13. Images GSO / Choix du photographe
  14. Hill Street Studios / Mélanges Images
  15. action
  16. Corbis
  17. Jupiter images illimitées
  18. Mélanger des images

Références:

  • Association gastroentérologique américaine: RGO.
  • Gastro-entérologie
  • Institut national du diabète et des maladies digestives et rénales: reflux acide (GER
  • Journal mondial de gastro-entérologie: habitudes alimentaires du mode de vie du poids corporel et maladie du reflux gastro-œsophagien.

Cet outil ne fournit pas de conseils médicaux. Voir des informations supplémentaires:

Cet outil ne fournit pas de conseils médicaux. Il est destiné à des fins d'information générales uniquement et ne traite pas des circonstances individuelles. Il ne remplace pas le diagnostic ou le traitement professionnel des conseils médicaux et ne doit pas être invoqué pour prendre des décisions concernant votre santé. N'ignorez jamais les conseils médicaux professionnels dans la recherche de traitement à cause de quelque chose que vous avez lu sur le site RXList. Si vous pensez avoir une urgence médicale, appelez immédiatement votre médecin ou composez le 911.

© 1996-2025 WebMD LLC . Tous droits réservés.

pouvez-vous surdoser sur de l'acétaminophène hydrocodone